Desvendando o mecanismo que protege o DNA replicado da degradação: mero acaso, fortuita necessidade ou design inteligente?

domingo, setembro 30, 2018

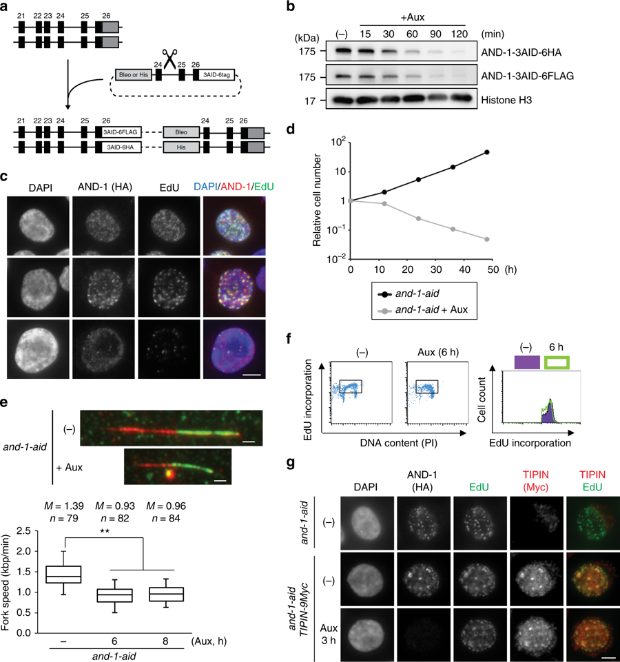
AND-1 fork protection function prevents fork resection and is essential for proliferation 
 

Takuya Abe, Ryotaro Kawasumi, Michele Giannattasio, Sabrina Dusi, Yui Yoshimoto, Keiji Miyata, Koyuki Umemura, Kouji Hirota & Dana Branzei

Nature Communications volume 9, Article number: 3091 (2018)

Abstract

AND-1/Ctf4 bridges the CMG helicase and DNA polymerase alpha, facilitating replication. Using an inducible degron system in avian cells, we find that AND-1 depletion is incompatible with proliferation, owing to cells accumulating in G2 with activated DNA damage checkpoint. Replication without AND-1 causes fork speed slow-down and accumulation of long single-stranded DNA (ssDNA) gaps at the replication fork junction, with these regions being converted to DNA double strand breaks (DSBs) in G2. Strikingly, resected forks and DNA damage accumulation in G2, but not fork slow-down, are reverted by treatment with mirin, an MRE11 nuclease inhibitor. Domain analysis of AND-1 further revealed that the HMG box is important for fast replication but not for proliferation, whereas conversely, the WD40 domain prevents fork resection and subsequent DSB-associated lethality. Thus, our findings uncover a fork protection function of AND-1/Ctf4 manifested via the WD40 domain that is essential for proliferation and averts genome instability.

Author information

Author notes

These authors contributed equally: Takuya Abe, Ryotaro Kawasumi.

Affiliations

IFOM, the FIRC Institute of Molecular Oncology, Via Adamello 16, 20139, Milan, Italy

Takuya Abe, Ryotaro Kawasumi, Michele Giannattasio, Sabrina Dusi & Dana Branzei

Department of Chemistry, Graduate School of Science, Tokyo Metropolitan University, Minamiosawa 1-1, Hachioji-shi, Tokyo, 192-0397, Japan
Takuya Abe, Yui Yoshimoto, Keiji Miyata, Koyuki Umemura & Kouji Hirota

Dipartimento di Oncologia ed Emato-Oncologia, Università degli Studi di Milano, Milan, 20122, Italy
Michele Giannattasio

Istituto di Genetica Molecolare, Consiglio Nazionale delle Ricerche (IGM-CNR), Via Abbiategrasso 207, 27100, Pavia, Italy
Dana Branzei

Contributions

T.A., R.K., and D.B. designed the research; T.A. and R.K. performed the experiments; M.G. and S.D. performed TEM sample acquisition and analysis; Y.Y., K.M., K.U., and K.H. contributed to experiments on molecular combing and pulse field gel electrophoresis; T.A., R.K., and D.B analyzed the data; T.A. and R.K. made the figures; D.B. wrote the paper and all authors contributed suggestions. 

Competing interests

The authors declare no competing interests.
Corresponding author

Correspondence to Dana Branzei.

FREE PDF GRATIS: Nature Communications Sup. Info.

Darwin, a evolução pré-darwinista é plausível? As evidências dizem NÃO!

sexta-feira, setembro 21, 2018

Is pre-Darwinian evolution plausible?

Marc TesseraEmail authorView ORCID ID profile
Biology Direct201813:18

https://doi.org/10.1186/s13062-018-0216-7

© The Author(s). 2018
Received: 29 December 2017 Accepted: 15 June 2018 Published: 21 September 2018 


 Abstract

Background

This essay highlights critical aspects of the plausibility of pre-Darwinian evolution. It is based on a critical review of some better-known open, far-from-equilibrium system-based scenarios supposed to explain processes that took place before Darwinian evolution had emerged and that resulted in the origin of the first systems capable of Darwinian evolution. The researchers’ responses to eight crucial questions are reviewed. The majority of the researchers claim that there would have been an evolutionary continuity between chemistry and “biology”. A key question is how did this evolution begin before Darwinian evolution had begun? In other words the question is whether pre-Darwinian evolution is plausible.

Results

Strengths and weaknesses of the reviewed scenarios are presented. They are distinguished between metabolism-first, replicator-first and combined metabolism-replicator models. The metabolism-first scenarios show major issues, the worst concerns heredity and chirality. Although the replicator-first scenarios answer the heredity question they have their own problems, notably chirality. Among the reviewed combined metabolism-replicator models, one shows the fewest issues. In particular, it seems to answer the chiral question, and eventually implies Darwinian evolution from the very beginning. Its main hypothesis needs to be validated with experimental data.

Conclusion

From this critical review it is that the concept of “pre-Darwinian evolution” appears questionable, in particular because it is unlikely if not impossible that any evolution in complexity over time may work without multiplication and heritability allowing the emergence of genetically and ecologically diverse lineages on which natural selection may operate. Only Darwinian evolution could have led to such an evolution. Thus, Pre-Darwinian evolution is not plausible according to the author. Surely, the answer to the question posed in the title is a prerequisite to the understanding of the origin of Darwinian evolution.

Reviewers

This article was reviewed by Purificacion Lopez-Garcia, Anthony Poole, Doron Lancet, and Thomas Dandekar. 

Keywords

Metabolism-first Replicator-first Combined metabolism-replicator scenarios
Pre-Darwinian evolution Prebiotic evolution Darwinian evolution Origin of life
Origin of Darwinian evolution
FREE PDF GRATIS: Biology Direct

Darwin, explica aí: moléculas de colesterol de 558 milhões de anos preservadas intactas?

Ancient steroids establish the Ediacaran fossil Dickinsonia as one of the earliest animals

Ilya Bobrovskiy1,*, Janet M. Hope1, Andrey Ivantsov2, Benjamin J. Nettersheim3, Christian Hallmann3,4, Jochen J. Brocks1,*
 
1Research School of Earth Sciences, Australian National University, Canberra ACT 2601, Australia.
 
2Borissiak Paleontological Institute, Russian Academy of Sciences, Moscow 117997, Russia.
 
3Max Planck Institute for Biogeochemistry, Jena 07745, Germany.
 
4MARUM–Center for Marine Environmental Sciences, University of Bremen, Bremen 28359, Germany.
 
*Corresponding author. Email: ilya.bobrovskiy@anu.edu.au (I.B.); jochen.brocks@anu.edu.au (J.J.B.)

 Science 21 Sep 2018: Vol. 361, Issue 6408, pp. 1246-1249
DOI: 10.1126/science.aat7228
 
Source/Fonte: The Australian National University (ANU)
 
Confirming the identity of early animals

The first complex organisms emerged during the Ediacaran period, around 600 million years ago. The taxonomic affiliation of many of these organisms has been difficult to discern. Fossils of Dickinsonia, bilaterally symmetrical oval organisms, have been particularly difficult to classify. Bobrovskiy et al. conducted an analysis using lipid biomarkers obtained from Dickinsonia fossils and found that the fossils contained almost exclusively cholesteroids, a marker found only in animals (see the Perspective by Summons and Erwin). Thus, Dickinsonia were basal animals. This supports the idea that the Ediacaran biota may have been a precursor to the explosion of animal forms later observed in the Cambrian, about 500 million years ago.

Science, this issue p. 1246; see also p. 1198

Abstract

The enigmatic Ediacara biota (571 million to 541 million years ago) represents the first macroscopic complex organisms in the geological record and may hold the key to our understanding of the origin of animals. Ediacaran macrofossils are as “strange as life on another planet” and have evaded taxonomic classification, with interpretations ranging from marine animals or giant single-celled protists to terrestrial lichens. Here, we show that lipid biomarkers extracted from organically preserved Ediacaran macrofossils unambiguously clarify their phylogeny. Dickinsonia and its relatives solely produced cholesteroids, a hallmark of animals. Our results make these iconic members of the Ediacara biota the oldest confirmed macroscopic animals in the rock record, indicating that the appearance of the Ediacara biota was indeed a prelude to the Cambrian explosion of animal life. 
 
Subscription or payment needed/Requer assinatura ou pagamento: Science
 
+++++
 
Professores, pesquisadores e alunos de universidades públicas e privadas com acesso ao Portal Periódicos CAPES/MEC podem ler gratuitamente este artigo da Science e de mais 33.000 publicações científicas. 

Novo livro de Michael Behe sobre o declínio de Darwin: a nova ciência do DNA desafia a teoria da evolução

quarta-feira, setembro 19, 2018

Darwin Devolves: The New Science About DNA that Challenges Evolution Hardcover – February 26, 2019
by Michael J. Behe (Author)

The scientist who has been dubbed the “Father of Intelligent Design” and author of the groundbreaking book Darwin’s Black Box contends that recent scientific discoveries further disprove Darwinism and strengthen the case for an intelligent creator.

In his controversial bestseller Darwin’s Black Box, biochemist Michael Behe challenged Darwin’s theory of evolution, arguing that science itself has proven that intelligent design is a better explanation for the origin of life. In Darwin Devolves, Behe advances his argument, presenting new research that offers a startling reconsideration of how Darwin’s mechanism works, weakening the theory’s validity even more.

A system of natural selection acting on random mutation, evolution can help make something look and act differently. But evolution never creates something organically. Behe contends that Darwinism actually works by a process of devolution—damaging cells in DNA in order to create something new at the lowest biological levels. This is important, he makes clear, because it shows the Darwinian process cannot explain the creation of life itself. “A process that so easily tears down sophisticated machinery is not one which will build complex, functional systems,” he writes.

In addition to disputing the methodology of Darwinism and how it conflicts with the concept of creation, Behe reveals that what makes Intelligent Design unique—and right—is that it acknowledges causation. Evolution proposes that organisms living today are descended with modification from organisms that lived in the distant past. But Intelligent Design goes a step further asking, what caused such astounding changes to take place? What is the reason or mechanism for evolution? For Behe, this is what makes Intelligent Design so important.
 
 
+++++
 

Darwin, as mutações genéticas frustram os esforços científicos de prever plenamente o nosso futuro

segunda-feira, setembro 17, 2018

The complex underpinnings of genetic background effects

Martin N. Mullis, Takeshi Matsui, Rachel Schell, Ryan Foree & Ian M. Ehrenreich 

Nature Communications volume 9, Article number: 3548 (2018) 

Article | OPEN | Published: 17 September 2018

Source/Fonte: Evolution Berkeley

Abstract

Genetic interactions between mutations and standing polymorphisms can cause mutations to show distinct phenotypic effects in different individuals. To characterize the genetic architecture of these so-called background effects, we genotype 1411 wild-type and mutant yeast cross progeny and measure their growth in 10 environments. Using these data, we map 1086 interactions between segregating loci and 7 different gene knockouts. Each knockout exhibits between 73 and 543 interactions, with 89% of all interactions involving higher-order epistasis between a knockout and multiple loci. Identified loci interact with as few as one knockout and as many as all seven knockouts. In mutants, loci interacting with fewer and more knockouts tend to show enhanced and reduced phenotypic effects, respectively. Cross–environment analysis reveals that most interactions between the knockouts and segregating loci also involve the environment. These results illustrate the complicated interactions between mutations, standing polymorphisms, and the environment that cause background effects.

Acknowledgements

We thank Norm Arnheim, Mark Chaisson, Matt Dean, Sasha Levy, David Pfennig, and Kevin Roy for comments on a draft of this manuscript. We also thank Alessandro Coradini, Jonathan Lee, and Fabian Seidl for input during the execution of this project and writing of this paper. The research described in this manuscript was supported by grant R01GM110255 from the National Institutes of Health, as well as a Computational and Evolutionary Molecular Biology fellowship from the Alfred P. Sloan Foundation to I.M.E. and a Research Enhancement Fellowship from the USC Graduate School to M.N.M. Many of the analyses described in this paper were performed on the USC High-Performance Computing cluster.

Author information

Author notes

These authors contributed equally: Martin N. Mullis, Takeshi Matsui, Rachel Schell.

Affiliations

Molecular and Computational Biology Section, Department of Biological Sciences, University of Southern California, Los Angeles, CA, 90089-2910, USA

Martin N. Mullis, Takeshi Matsui, Rachel Schell, Ryan Foree & Ian M. Ehrenreich

Contributions

M.N.M., T.M., R.S. and I.M.E. conceptualized this project. M.N.M., T.M., R.S. and R.F. performed experiments. M.N.M., T.M. and I.M.E. analyzed data. M.N.M., T.M., R.S. and I.M.E. wrote the paper.

Competing interests

The authors declare no competing interests.

Corresponding authors

Correspondence to Martin N. Mullis or Takeshi Matsui or Ian M. Ehrenreich.

Faleceu o geneticista Luigi Luca Cavalli-Sforza (1922-2018): um pássaro na gaiola dourada

quinta-feira, setembro 13, 2018

L.L. Cavalli-Sforza: A bird in a gilded cage

Open Behavioral Genetics, 2014, ISSN: 2446-3876

Peter Frost


Abstract 

Luigi Luca Cavalli-Sforza is a complex figure. On the one hand, he has publicly backed those who assert that human races do not exist. On the other hand, by aggregating large volumes of genetic data, he has proven the existence of large continental races, as well as smaller regional and micro ones. By developing the theory of gene-culture co-evolution, he has also shown that humans did not stop evolving genetically when they began to evolve culturally. In fact, the two processes have fed into each other, with humans having to adapt not only to the natural portion of their environment (climate, vegetation, wildlife, etc.) but also to the portion they themselves have created (mode of subsistence, behavioral norms, gender roles, class structure, belief system, etc.). This has led some to see a double game at work. While bowing to the mainstream taboos, Cavalli-Sforza has quietly amassed evidence that human races not only exist but also differ in ways that are more than skin deep. In time, his weighty tomes will speak louder than his official statements on race. This may indeed be how he sees himself, and it might explain certain contradictions between his public persona and his academic self. Oh, those naïve antiracists, if only they knew how they’re being outfoxed! Time will tell who is outfoxing whom. To date, the results speak for themselves. When in 1994 Cavalli-Sforza published The History and Geography of Human Genes, academics and nonacademics alike were talking more openly about race, as seen by the publication the same year of The Bell Curve and by the willingness of previously silent anthropologists, like Vincent Sarich, to step forward and speak out. That interval of glasnost soon ended, in no small part because of Cavalli-Sforza’s apparent conversion, as attested in his book, to the view that human races do not exist in any meaningful sense. Why did he convert? And did he really? I doubt there was any conversion. His change of heart was too rapid, and it happened while the zeitgeist was moving in the other direction. Perhaps he saw a chance to gain acceptance for his new tome. Or perhaps he received a letter one day, detailing his wartime record, the people he worked with, and the testing on human subjects … Cavalli-Sforza had to remake his life when the war ended. He never denied the nature of his wartime research (the time it takes for anthrax to kill its host) but tried to create the impression that he was doing pure research with no military implications. Yet this was Berlin, in 1943-1944. There was no money for pure research. Was he motivated by opportunism, the chance to gain experience in his field of study? Or did he feel loyalty to the Axis cause? It is difficult to say, and perhaps it doesn’t matter. It is enough to say that he later saw his wartime research as a stain on his record and tried to minimize it as much as possible. He was thus vulnerable to blackmail, or rather to his chronic fear of blackmail. We will probably never know the full story. One thing is sure. If Cavalli-Sforza is playing a double game, he has been playing it far too long. Such a strategy is excusable for an academic who is young, untenured, poorly known, and far from retirement, but these excuses hardly apply to a professor emeritus like Cavalli-Sforza. The time is overdue to speak frankly and, if need be, pay the price. Anyway, what else can he do now with his vast reserves of public esteem? Take it with him to the next world?

FREE PDF GRATIS: Open Behavioral Genetics

Darwin, não é mero acaso, nem fortuita necessidade, mas informação!

terça-feira, setembro 11, 2018

EMBO Reports

Will biologists become computer scientists?

A truly interdisciplinary effort by computer scientists and biologists to understand how cells process information may yield new insights for both fields

Anne Condon Hélène Kirchner Damien Larivière Wallace Marshall Vincent Noireaux Tsvi Tlusty Eric Fourmentin

First published: 30 July 2018 https://doi.org/10.15252/embr.201846628


Abstract

The idea that living systems could be understood and described as information‐processing systems has been around even before the first computers were built. From Alan Turing's considerable paper in 1936 to Erwin Schrödinger's work in 1944 and John von Neumann's work in 1948 [1], many scientists pondered about information storage and the possible existence of a logical processor within living cells. The discovery of the double‐helical structure of DNA in 1953 provided the material basis for these intuitions as it finally revealed how cells store inheritable information in a “digital” format. The recent success of genome transplantation experiments into recipient host cells [2]—akin to transferring software to another computer—further strengthened the hypothesis that living cells can be regarded as Turing Machines, as was suggested by Sydney Brenner [3] (see Sidebar 1 for a glossary and Sidebar 2 for further readings).

… many scientists pondered about information storage and the possible existence of a logical processor within living cells.

François Jacob and Jacques Monod were among the first biologists to understand gene expression as an algorithm.

In light of these and other experimental results that would support the hypothesis that some parts of living systems could be understood as information‐processing machines, the Fourmentin‐Guilbert Scientific Foundation invited international scholars from the life sciences, computer sciences and physical sciences (see Sidebar 3) to the I2CELL (from Information to Cells) seminar in February 2018 near Oxford, UK, to discuss and identify new research areas. Over 3 days, they debated on a broad range of subjects from computation, information handling, algorithms, robotics and viruses (of the digital and biological varieties) to explore analogies between cells and computers that could inspire new research, while keeping a critical approach to the benefits of similarities. …

+++++

Subscription or payment needed/Requer assinatura ou pagamento: EMBO Reports

+++++

NOTA DESTE BLOGGER: 

Qual teoria que tem a INFORMAÇÃO em seu arcabouço teórico? A atual teoria geral da evolução de Darwin - a Síntese Evolutiva Ampliada/Estendida lançada em agosto de 2015? Lidou apenas en passant. A única teoria que tem a INFORMAÇÃO no seu arcabouço teórico é a Teoria do Design Inteligente: informação complexa especificada.

Uma extraordinária diversificação de insetos no período Triássico Médio: Surgimento abrupto e estase!

sexta-feira, setembro 07, 2018

Middle-Late Triassic insect radiation revealed by diverse fossils and isotopic ages from China

Daran Zheng1,2, Su-Chin Chang2,*, He Wang1, Yan Fang1, Jun Wang2, Chongqing Feng2, Guwei Xie3,4, Edmund A. Jarzembowski1,5, Haichun Zhang1 and Bo Wang1,6,*


Science Advances 05 Sep 2018: Vol. 4, no. 9, eaat1380


Fig. 3 Representative fossils from Tongchuan and Karamay entomofaunas.

Tongchuan entomofauna (A to C, E to J, and L to O), and Karamay entomofauna (D and K). (A) Zygophlebia (Odonatoptera: Zygophlebiidae), NIGP163160; (B) Locustavidae (Orthoptera), NIGP162042; (C) Prochoristella (Mecoptera: Permochoristidae), NIGP162043; (D) Corixidae, NIGP162044; (E) Boreocixius (Hemiptera: Surijokocixiidae), NIGP162045; (F) Dunstaniidae (Hemiptera), NIGP162046; (G) Aphidoidea (Hemiptera), NIGP162047; (H) Chauliodites (Grylloblattida: Chaulioditidae), NIGP162048; (I) Cicadocorinae (Hemiptera: Progonocimicidae), NIGP162049; (J) Ichnogenus Folindusia (Trichoptera), NIGP162050; (K) Ichnogenus Terrindusia (Trichoptera), NIGP162051; (L) Myxophaga (Coleoptera), NIGP162052; (M) Elateriformia (Coleoptera), NIGP162053; (N) Dytiscoidea (Coleoptera), NIGP162054; (O) Cicadocorinae (Hemiptera: Progonocimicidae), NIGP162055. Scale bars, 5 mm (white), and 1 mm (black).

Abstract

The Triassic represented an important period that witnessed the diversification of marine and terrestrial ecosystems. The radiations of terrestrial plants and vertebrates during this period have been widely investigated; however, the Triassic history of insects, the most diverse group of organisms on Earth, remains enigmatic because of the rarity of Early-Middle Triassic fossils. We report new insect fossils from a Ladinian deposit (Tongchuan entomofauna) dated to approximately 238 to 237 million years ago and a Carnian deposit (Karamay entomofauna) in northwestern China, including the earliest definite caddisfly cases (Trichoptera), water boatmen (Hemiptera), diverse polyphagan beetles (Coleoptera), and scorpionflies (Mecoptera). The Tongchuan entomofauna is near the Ladinian-Carnian boundary in age, providing a calibration date for correlation to contemporaneous biotas. Our findings confirm that the clade Holometabola, comprising most of the modern-day insect species, experienced extraordinary diversification in the Middle-Late Triassic. Moreover, our results suggest that the diversification of aquatic insects (a key event of the “Mesozoic Lacustrine Revolution”) had already begun by the Middle Triassic, providing new insights into the early evolution of freshwater ecosystems.

FREE PDF GRATIS: Science Advances Sup. Info.

+++++

See Elizabeth Pennisi's article: 


+++++

Os autores escreveram:

“Our findings confirm that the clade Holometabola, comprising most of the modern-day insect species, experienced extraordinary diversification in the Middle-Late Triassic.” ... “In summary, our findings confirm that holometabolous and aquatic insects experienced a radiation event in the Middle Triassic.”  

Por que isso é importante: Porque é significativamente mais cedo do que o esperado - parcialmente baseado na evidência de fósseis, mas também em datas previamente propostas de pesquisas moleculares.  

No artigo da Pennisi:

“The sites underscore that this burst of evolution took place much earlier than researchers had thought, particularly for water-loving insects.” ... “This earlier date for the expansion of insect diversity aligns it with the explosion in plant diversity happening at that time.”  

Convém destacar que essas descobertas não são incomuns – é mais um padrão característico descoberto pelos paleontólogos - surgimento abrupto e estase.

Eita seleção natural preguiçosa - 237 milhões e tudo permanece como antes no quartel de Abrantes, oops de Darwin!

DNA, RNA e ferramentas de proteínas para editar informação genética em células humanas

terça-feira, setembro 04, 2018

iScience 
REVIEW| VOLUME 6, ISSUE , P247-263, AUGUST 31, 2018

DNA, RNA, and Protein Tools for Editing the Genetic Information in Human Cells

Xiaoyu Chen 2 Manuel A.F.V. Gonçalves

Published:August 03, 2018 DOI: https://doi.org/10.1016/j.isci.2018.08.001


Abstract

Solving the structure of DNA in 1953 has unleashed a tour de force in molecular biology that has illuminated how the genetic information stored in DNA is copied and flows downstream into RNA and proteins. Currently, increasingly powerful technologies permit not only reading and writing DNA in vitro but also editing the genetic instructions in cells from virtually any organism. Editing specific genomic sequences in living cells has been particularly accelerated with the introduction of programmable RNA-guided nucleases (RGNs) based on prokaryotic CRISPR adaptive immune systems. The repair of chromosomal breaks made by RGNs with donor DNA patches results in targeted genome editing involving the introduction of specific genetic changes at predefined genomic positions. Hence, donor DNAs, guide RNAs, and nuclease proteins, each representing the molecular entities underlying the storage, transmission, and expression of genetic information, are, once delivered into cells, put to work as agents of change of that very same genetic text. Here, after providing an outline of the programmable nuclease-assisted genome editing field, we review the increasingly diverse range of DNA, RNA, and protein components (e.g., nucleases and “nickases”) that, when brought together, underlie RGN-based genome editing in eukaryotic cells.

Subject Areas Techniques in Genetics Molecular Genetics Molecular Biology Experimental Approach

FREE PDF GRATIS: iScience

Homoquiralidade através da desnaturação induzida de fótons de RNA/DNA na origem da vida

segunda-feira, setembro 03, 2018


Homochirality through Photon-Induced Denaturing of RNA/DNA at the Origin of Life

Karo Michaelian ORCID

Department of Nuclear Physics and Application of Radiations, Instítuto de Física, Universidad Nacional Autónoma de México, A. P. 20-364, México, D.F. 01000, Mexico

Received: 27 April 2018 / Revised: 22 May 2018 / Accepted: 22 May 2018 / Published: 6 June 2018

(This article belongs to the Special Issue The Origin of Chirality in Life (Chiral Symmetry Breaking))


Abstract

Since a racemic mixture of chiral nucleotides frustrates the enzymeless extension of RNA and DNA, the origin of homochirality must be intimately connected with the origin of life. Homochirality theories have elected to presume abiotic mechanisms for prebiotic enantiomer enrichment and post amplification, but none, so far, has been generally accepted. Here I present a novel hypothesis for the procurement of homochirality from an asymmetry in right- over left-circularly polarized photon-induced denaturing of RNA and DNA at the Archean ocean surface as temperatures descended below that of RNA and DNA melting. This asymmetry is attributed to the small excess of right-handed circularly polarized submarine light during the afternoon, when surface water temperatures were highest and thus most conducive to photon-induced denaturing, and to a negative circular dichroism band extending from 230 to 270 nm for small oligos of RNA and DNA. Because D-nucleic acids have greater affinity for L-tryptophan due to stereochemistry, and because D-RNA/DNA+L-tryptophan complexes have an increased negative circular dichroism band between 230 and 270 nm, the homochirality of tryptophan can also be explained by this hypothesis. A numerical model is presented, demonstrating the efficacy of such a mechanism in procuring homochirality of RNA or DNA from an original racemic solution in as little as 270 Archean years. 

Keywords: homochirality; origin of life; non-equilibrium thermodynamics; photon dissipation; RNA; DNA; tryptophan

FREE PDF GRATIS: Life